ΕΙΔΗΣΕΙΣ, ΝΕΑ ΓΙΑ ΛΑΡΙΣΑ
Οι πρώτες επεμβάσεις κατάλυσης με καθετήρες (ablation) για την κολπική μαρμαρυγή στην Κεντρική Ελλάδα στο ΙΑΣΩ Θεσσαλίας
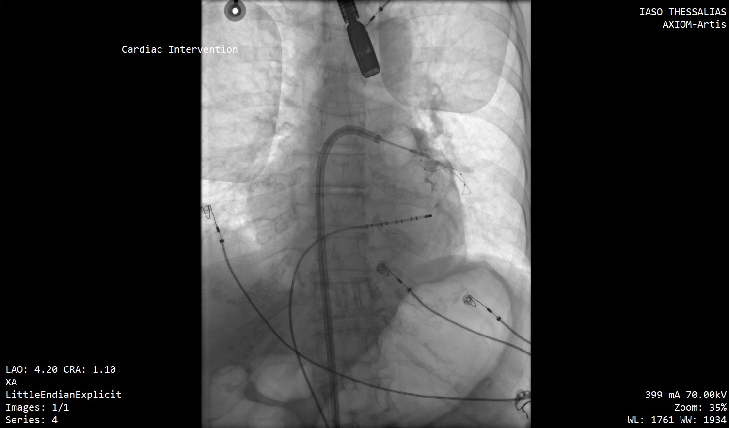
Μια νέα εποχή στην αντιμετώπιση των καρδιακών αρρυθμιών εγκαινιάζεται στην Κεντρική Ελλάδα

Οι πρώτες επεμβάσεις κατάλυσης με καθετήρες (ablation) για την κολπική μαρμαρυγή στην Κεντρική Ελλάδα πραγματοποιήθηκαν στο ΙΑΣΩ Θεσσαλίας
Μια νέα εποχή στην αντιμετώπιση των καρδιακών αρρυθμιών εγκαινιάζεται στην Κεντρική Ελλάδα, καθώς οι πρώτες επεμβάσεις κατάλυσης με καθετήρες (ablation) για τη θεραπεία της κολπικής μαρμαρυγής πραγματοποιήθηκαν με απόλυτη επιτυχία στο ΙΑΣΩ Θεσσαλίας.

Οι επεμβάσεις διενεργήθηκαν από τον Επεμβατικό Ηλεκτροφυσιολόγο Δημήτριο Α. Ιατρόπουλο, σε συνεργασία με τον Αναισθησιολόγο Δήμο Χαραλαμπίδη, τον Καρδιολόγο Αργύρη Γκαρμπούνη και την άρτια εκπαιδευμένη ομάδα του τεχνολογικού και νοσηλευτικού προσωπικού του Αιμοδυναμικού Εργαστηρίου του ΙΑΣΩ Θεσσαλίας.
Η κατάλυση με καθετήρες βασίζεται στην επιστημονικά τεκμηριωμένη αρχή ότι, στη μεγάλη πλειονότητα των ασθενών, η κολπική μαρμαρυγή εκκινεί από τις πνευμονικές φλέβες. Με την επιτυχή ηλεκτρική απομόνωσή τους από τον αριστερό κόλπο, η αρρυθμία παύει να μπορεί να πυροδοτηθεί.

Στις συγκεκριμένες επεμβάσεις εφαρμόστηκε η σύγχρονη τεχνική κρυοκατάλυσης με τη χρήση ειδικού μπαλονιού κρυοπηξίας (Cryoballoon), το οποίο επιτρέπει την ελεγχόμενη ψύξη («πάγωμα») του καρδιακού ιστού γύρω από τις πνευμονικές φλέβες, επιτυγχάνοντας με ασφάλεια και ακρίβεια την ηλεκτρική τους απομόνωση. Η μέθοδος χαρακτηρίζεται από υψηλά ποσοστά επιτυχίας, μειωμένο χρόνο επέμβασης και ταχεία ανάρρωση των ασθενών.
Το Ηλεκτροφυσιολογικό Εργαστήριο του ΙΑΣΩ Θεσσαλίας στελεχώνεται από εξειδικευμένο επιστημονικό προσωπικό υψηλού επιπέδου και διαθέτει υπερσύγχρονη υλικοτεχνική υποδομή, ικανή να αντιμετωπίσει όλο το φάσμα των καρδιακών αρρυθμιών με ασφάλεια και αποτελεσματικότητα. Η έναρξη της λειτουργίας του σηματοδοτεί μια νέα, ουσιαστική αναβάθμιση των παρεχόμενων καρδιολογικών υπηρεσιών στην περιοχή, προσφέροντας στους ασθενείς της Κεντρικής Ελλάδας πρόσβαση σε εξειδικευμένες επεμβατικές θεραπείες χωρίς την ανάγκη μετακίνησης σε μεγάλα αστικά κέντρα.

- ΛΑΡΙΣΑ | 17.02.2026 | 23:23
Θεαματικό τροχαίο στη Λάρισα- αναποδογύρισε ΙΧ έπειτα από σύγκρουση με άλλο και σερνόταν με τον ουρανό (ΦΩΤΟ) - ΕΛΛΑΔΑ | 17.02.2026 | 22:02
Ήχησε το 112 στην Αιτωλοακαρνανία – Υπερχείλισε το φράγμα του Στράτου στον Αχελώο - ΚΑΡΔΙΤΣΑ | 17.02.2026 | 21:58
Πορίσματα εκτίμησης ζημιών από ανεμοθύελλα σε Μακρυχώρι, Μυρίνη και Πρόδρομο - ΛΑΡΙΣΑ | 17.02.2026 | 21:40
Τακούδης- επικαιροποίηση: Με καλό καιρό το πέταγμα χαρταετού-Χωρίς βροχές η Θεσσαλία από Κυριακή μεσημέρι - ΛΑΡΙΣΑ | 17.02.2026 | 21:05
Σεμινάριο στο Επιμελητήριο Λάρισας για «Digital Marketing» (ΦΩΤΟ) - ΛΑΡΙΣΑ | 17.02.2026 | 20:53
Εκδήλωση της Λέσχης Lions Λάρισα Ασκληπιάς για τον παιδικό καρκίνο στο Φρούριο (ΦΩΤΟ) - ΑΓΡΟΤΙΚΑ | 17.02.2026 | 20:24
Νομοσχέδιο σκούπα για εκκρεμότητες ΟΠΕΚΕΠΕ ανακατανομή 80+80 σε βαμβάκι-σιτάρι, ζωικά - ΚΑΡΔΙΤΣΑ | 17.02.2026 | 19:30
Β. Τσιάκος: «αρχιτεκτονικός διαγωνισμός για την κεντρική πλατεία της Καρδίτσας, όταν ολοκληρωθεί η πλατεία
- ΛΑΡΙΣΑ | 17.02.2026 | 23:23
Θεαματικό τροχαίο στη Λάρισα- αναποδογύρισε ΙΧ έπειτα από σύγκρουση με άλλο και σερνόταν με τον ουρανό (ΦΩΤΟ) - ΑΓΡΟΤΙΚΑ | 17.02.2026 | 12:02
Έρχονται ενισχύσεις 110 εκατ. ευρώ σε βαμβάκι, σκληρό σίτο μέσω συνδεδεμένων και σε μηδική μέσω de minimis - ΛΑΡΙΣΑ | 17.02.2026 | 10:18
Εννιά Λαρισαίοι «έφυγαν» από τη ζωή - ΒΟΛΟΣ | 17.02.2026 | 18:13
Προφυλακίζονται οι 10 από τους 14 συλληφθέντες της εγκληματικής οργάνωσης στον Βόλο - ΛΑΡΙΣΑ | 17.02.2026 | 11:45
Πάλι βγήκε η θάλασσα στη στεριά και πλημμύρισαν τα Μεσάγγαλα (video) - ΛΑΡΙΣΑ | 17.02.2026 | 09:37
«Βιολάντα»: Έκλεισε και το εργοστάσιο στη Λάρισα λόγω έλλειψης πιστοποιητικού πυρασφάλειας - ΛΑΡΙΣΑ | 17.02.2026 | 11:17
Σε επιφυλακή η ΔΕΥΑΛ για τη στάθμη του Πηνειού μετά τις τελευταίες βροχοπτώσεις (ΦΩΤΟ) - ΤΡΙΚΑΛΑ | 17.02.2026 | 14:19
«Βιολάντα»: Εντοπίστηκε διαρροή και στο εργοστάσιο της Λάρισας – Νέες καταγγελίες για την έκρηξη: «Δακρύζαμε από την οσμή»










































Facebook
Twitter
Youtube
RSS Feed